BLOGブログ

ブリーチング(漂白)後のコンポジットレジン

久しぶりにコンポジットレジン症例を紹介したいと思います
写真は前歯部の審美障害が主訴の患者さん。右上2番と左上1番が失活歯のため変色しており、右上2番根尖部には透過像が見られたため、まずは根管治療を行います、根管充填終了後ウォーキングブリーチを行い、周りの歯と色が合うまで漂白を繰り返します、色があったところで不適合なコンポジットレジンを外し、新たにコンポジットレジンを充填して完了します。

 

 

0000003412

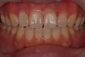
初診時

 

 

0000003412

右上2番の根管治療途中。根管内の不純物を取り除くだけでも、歯はある程度白くなります

 

 

0000003412

ブリーチング(漂白)後、不適合充填物を外します

 

 

0000003412

新たにコンポジットレジンを充填

 

 

0000003412

治療完了時

 

 

前歯の審美回復にはセラミックをかぶせる治療法が一般的だと思います(実際この患者さんも前医で勧められたそうです)しかしある程度歯質が残っていれば、こういった治療法を選択することも可能ではないかと思います。(どんな治療法もリスクはありますが。。)
また審美目的のコンポジットレジン修復は保険適用外となりますが、セラミックのかぶせ物よりは少ない費用で済みますので、とても有効な治療法だと考えます。