挺出改善後のインプラント治療

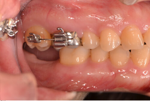
30代女性。矯正歯科にて全額矯正を行った際、下顎7番の長期欠損による上顎7番の挺出も改善。最終的に欠損部をどうするかという話になり、矯正医からインプラント治療を勧められ当院に来院された患者さんです。

私の勝手な思い込みなのですが、矯正専門医はインプラントに対して否定的な先生が多いと思っていたので、矯正歯科でインプラントを勧められたというのはちょっと意外でした。

下顎7番にインプラントを埋入。

上部構造を装着しました。

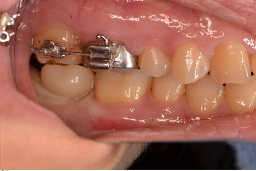
最近はインプラント治療を否定する歯科医は少なくなったと感じますが、単純にインプラント治療を良い悪いで決めるのではなく、多角的な視野で判断することが大事だと考えています。