根管治療

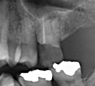
60代女性。3年前に他院にて自費治療で入れたセラミックの詰め物が取れたのでつけて欲しいとのことで来院。

レントゲンを見ると歯は失活歯で口蓋根にメインポイントが1本入っていますが頬側根は手付かずのようです。

取れた詰め物は再利用できなかったので、患者さんには再度根管治療からやり直すことを提案し同意を得ました。根管口付近を慎重に探っていくと頬側根の入り口が見つかりました。

根管拡大が終わりました。ちなみに前医ではマイクロスコープを使って根管治療をしていたそうですが、患者さんのお話なので本当かどうかはわかりません。

高価な設備や機材を導入することも大切ですが、基本的な手技を堅実に行うことも大切だと思います。

保険適用のチタンクラウンで修復しました。

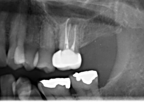
根管内を緊密に根管充填されていることが分かります。またチタンクラウンはエックス線に対して半透過性があるのも特徴です。