フルマウスリコンストラクション (全顎的咬合再構成)
フルマウスリコンストラクション(Full Mouth Reconstruction)とは、欠損歯の長期放置や虫歯、歯周病によって咬合が崩壊し咀嚼障害や審美障害を起こしている口腔状況に対して、理想的な咬合及び歯列を回復し、審美と機能の両面で全顎的に咬合を再構築する治療を指します。
歯科治療の中でも全顎的にあらゆる要素を総合的に判断し治療計画を立てなければならないので、歯科医師の総合力(一般歯科、矯正歯科、インプラント、咬合理論など)が問われる歯科治療の一つだと考えています。

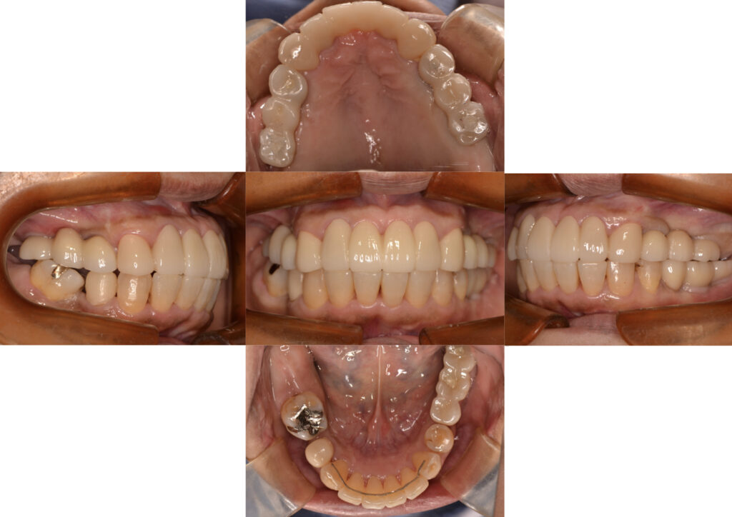
60代女性。初診時の口腔内写真、臼歯部の咬合崩壊と前歯部のフレアーアウトを起こしています。

1年2ヶ月後の治療完了時。完全な理想咬合の回復とまではいきませんが、できるだけ患者さんの身体的苦痛や経済的負担を最小限にとどめた中で最大限の機能と審美の回復ができたかと思います。
「木を見て森を見ず」そんな治療にならないようにという新卒時代の師匠の言葉を胸に、常に一口腔単位で全体のバランスを考えながら治療計画及び歯科治療を行うように心がけています。