移植(保険適用)

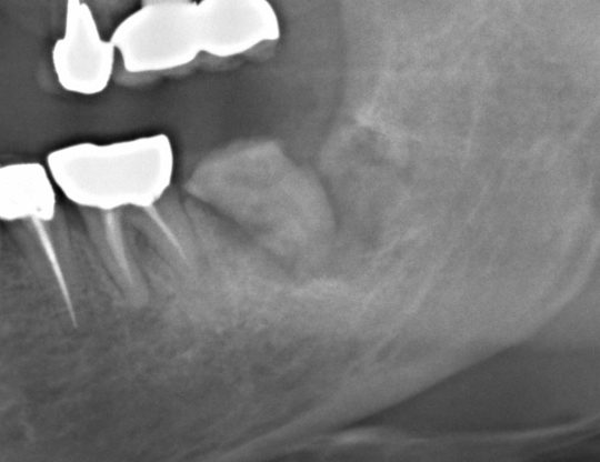
第2大臼歯が破折しており保存不能の状態です

奥に埋伏していた親知らずを同時に抜歯して、移植固定を行いました

軟組織の回復を待ちます

移植歯の動揺が収まってきたところで根管治療を行います

根管充填を行います、この時点では骨はまだ完全に回復していませんが、移植歯はしっかりとくっついています

コンポジットレジンで支台築造を行い

クラウンをかぶせて治療完了です

第2大臼歯が破折しており保存不能の状態です

奥に埋伏していた親知らずを同時に抜歯して、移植固定を行いました

軟組織の回復を待ちます

移植歯の動揺が収まってきたところで根管治療を行います

根管充填を行います、この時点では骨はまだ完全に回復していませんが、移植歯はしっかりとくっついています

コンポジットレジンで支台築造を行い

クラウンをかぶせて治療完了です