矯正治療と補綴治療のコンビネーション
成人矯正の場合歯の移動に時間がかかるので、ある程度歯を移動させたら補綴で仕上げるという選択肢も有効だと考えています。

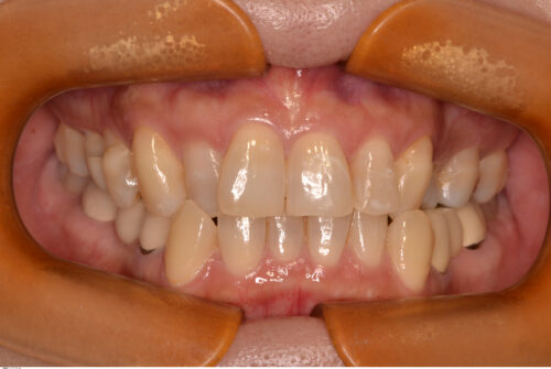
40代女性、主訴は噛み合わせを治したい。20年くらい前から頭痛に悩まされており、噛み合わせとの関連性もゼロとは言い切れません。

右上2番と左上3番が反対咬合のため、下顎のスムーズな側方運動が阻害されています。

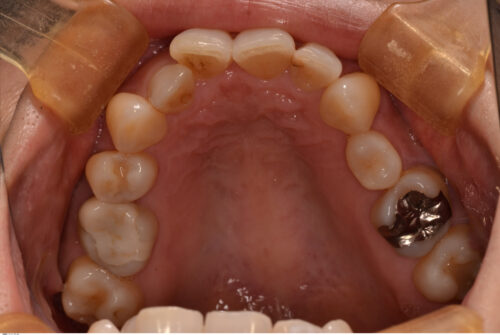
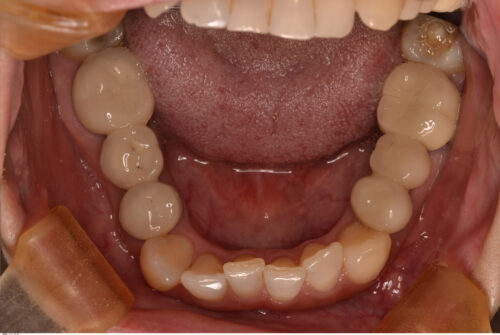
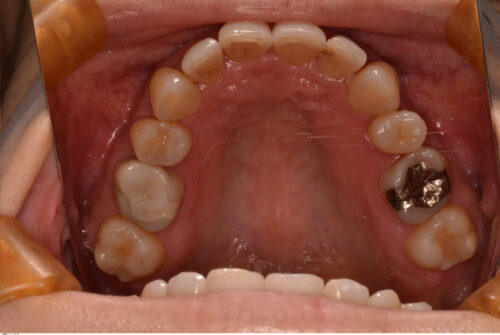
第2小臼歯は全て先天性欠損で下顎にはブリッジが入っています。

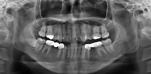
初診時のパノラマエックス線写真

矯正治療を開始します。

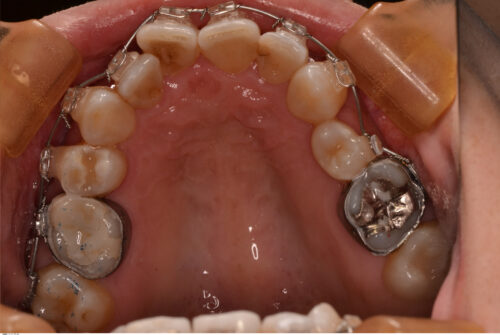
上顎は骨が硬くないので容易に移動しますが

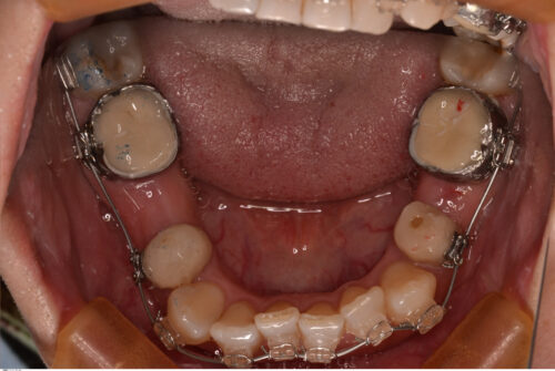
下顎は骨が硬いのでなかなか動いてくれません。

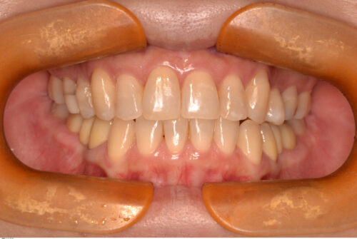
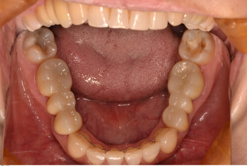
開始から1年で治療を終えました。矯正治療開始直後から、食いしばれなくなるせいか頭痛の改善も認められ、現在も良好に経過しています。

現在術後3年が経過し、後戻りも無くリテーナーの使用も終了しています。

本来であれば欠損部分も矯正によってスペースを無くせばブリッジを入れる必要がなくなるのですが、下顎は骨が硬いため移動に時間がかかります。治療期間を短くすることで患者さんの負担も減るので、成人矯正の場合は補綴処置を組み合わせながら治療計画を立てることも重要だと思います。