永久歯(大人の歯)が生えてこない
小児期の乳歯から永久歯への生え替わりの時期に永久歯(大人の歯)が生えてこないことがあります。
原因として考えられるのは萌出スペースの欠如もしくは先天性欠損が考えられます
どちらの場合でも早めに歯科を受診し対策を考えていく必要があります。

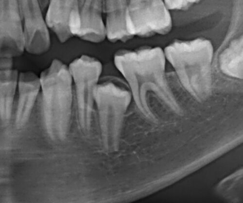
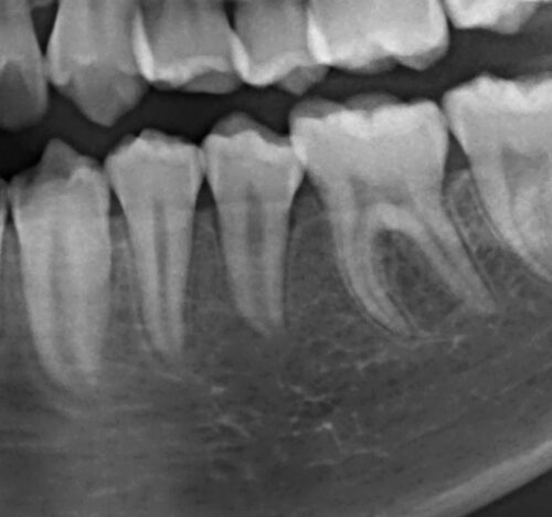
13歳男性、左下5番が萌出不全。エックス線像を見ると両隣在歯に引っかかっており、また歯冠を囲むように嚢胞様の透過像が見られます。

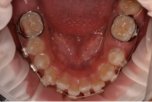
全顎的な歯列矯正も兼ねて治療を開始します。

まずはオープンコイルで萌出するためのスペースを拡大していきます。

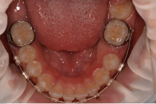
スペースができたら粘膜を切開して装置を接着しゴムで引っ張ります。

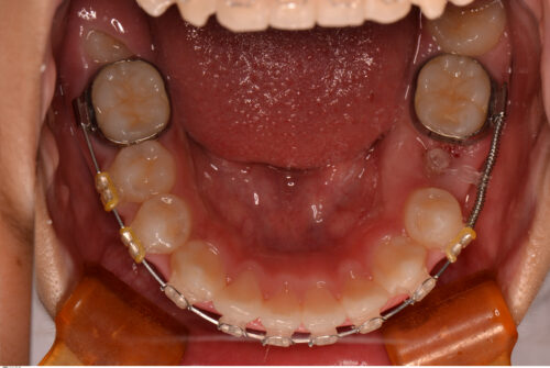
ある程度出てきたら装置を付け換えてきれいに並ぶよう位置を修正していきます。

8ヶ月後のレントゲン写真です、しっかりと萌出することができました。