ボールポイントレンチ

当院で使っているインプラントシステム「カムログ」から待望のボールポイントスクリュードライバーとボールポイント用アバットメントが新たに発売されました。

DIYをされる方ならご存じだと思いますが、ホームセンターなどで売っているボールポイントレンチと原理は一緒です。

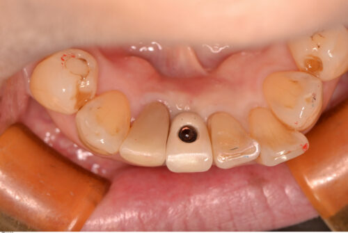
埋入方向とアクセスホールの位置に角度をつけることが可能となり、アクセスホールの位置を自由に選択することができます。

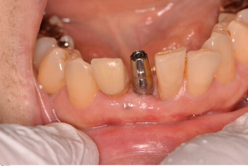
下顎前歯部は骨幅が狭いため埋入方向の自由度が少なく、これまではスクリュー固定ができずセメント合着せざるを得ませんでした。

埋入されたインプラント。

印象用ポスト装着時、スクリューのヘッドが切縁近くにあるのが分かります。

角度をつけることで舌側の最適な位置にアクセスホールを設定できます。

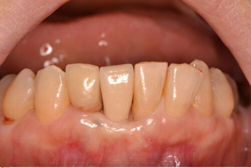
審美的にも機能的にも良好な結果を得ることができたと思います。