自由診療(保険外診療)費用(税込)
<修復物(かぶせ物、詰め物)> セラミッククラウン(ジルコニア) 88000円 セラミックインレー(ジルコニア) 33000円 <インプラント> インプラント体(埋入手術を含む) 220000円 インプラント上部構造(アバットメントを含む) 110000円 サージカルガイド 1装置(CT撮影料を含む) 55000円 ※インプラント1…
<修復物(かぶせ物、詰め物)> セラミッククラウン(ジルコニア) 88000円 セラミックインレー(ジルコニア) 33000円 <インプラント> インプラント体(埋入手術を含む) 220000円 インプラント上部構造(アバットメントを含む) 110000円 サージカルガイド 1装置(CT撮影料を含む) 55000円 ※インプラント1…
症例1 [caption id="attachment_10479" align="aligncenter" width="500"] 第一大臼歯が欠損、ブリッジやインプラントを用いずに矯正で治療することを選択[/caption] [caption id="attachment_10491" align="aligncenter" width="500"] クローズドコイルで…
[caption id="attachment_10492" align="aligncenter" width="500"] <治療前>正中離開のため審美的に問題があります[/caption] [caption id="attachment_10494" align="aligncenter" width="500"] ワイヤーとパワーチェーンにより空隙を閉鎖していきます[/capti…
症例1 [caption id="attachment_10502" align="aligncenter" width="500"] <治療前>歯根破折のため歯肉縁が下がってしまっています[/caption] [caption id="attachment_10501" align="aligncenter" width="500"] クラウンをテンポラリークラウン(仮歯)に取…
[caption id="attachment_10530" align="aligncenter" width="500"] <治療前>前歯4本を喪失しているが、入れ歯にはしたくありません[/caption] [caption id="attachment_10532" align="aligncenter" width="500"] そこでインプラ…
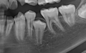
[caption id="attachment_10548" align="aligncenter" width="409"] 第2大臼歯が欠損しているので埋伏している親知らずをけん引する計画を立てます[/caption] [caption id="attachment_10549" align="aligncenter" width="500"] 骨…
[caption id="attachment_10541" align="aligncenter" width="500"] 第2大臼歯が破折しており保存不能の状態です[/caption] [caption id="attachment_10540" align="aligncenter" width="500"] 奥に埋伏していた親知らずを同時に抜歯して、移植固定…
[caption id="attachment_10512" align="aligncenter" width="500"] 小児の反対咬合はできるだけ早く治療するべきと考えます[/caption] [caption id="attachment_10516" align="aligncenter" width="500"] ワイヤーの弾性力を利用して前歯を前方に押し出します[/cap…
稲城駅の京王リトナード稲城に開院しておかげさまで18年、日本口腔インプラント学会認定医によるインプラント治療、小児から高齢者まで安心安全な、機能と審美の調和を目指した良質な歯科医療の提供を心がけています。また当院では治療に使用した器具の滅菌を徹底しており、院内の感染予防にも細心の注意を払っております。どうぞ安心して治療をお受け下さい。
日本口腔インプラント学会の関東甲信越支部学術大会に参加してきまし…
今日は休診日を利用して日本口腔インプラント学会九州支部主催のオン…
フルマウスリコンストラクション(FullMouthReconst…
あけましておめでとうございます本年も地域歯科医療に貢献できるよう…
60代女性。3年前に他院にて自費治療で入れたセラミックの詰め物が…
当院で使っているインプラントシステム「カムログ」から待望のボール…
30代女性。矯正歯科にて全額矯正を行った際、下顎7番の長期欠損に…
60代男性、6番欠損の状態が長期だったため7番が近心に倒れ込み8…